Call Today! (734) 453-9413 Request Appointment

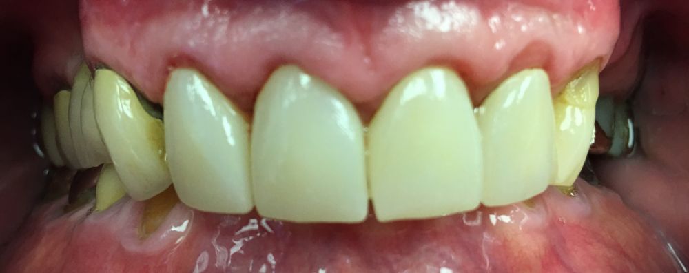
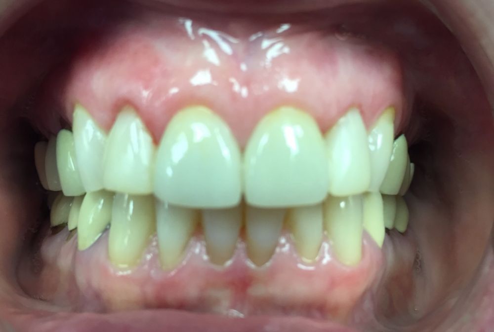
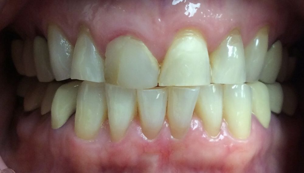
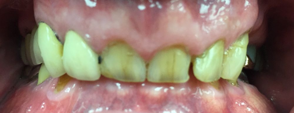
Patient Before & After Gallery

View pictures of our recent work below. To request additional samples or ask a question, please use this form or call (734) 453-9413.